室内尘螨是导致呼吸道过敏和其他过敏性疾病的最常见室内过敏原。在日常生活环境中,室内尘螨释放包括螨体、分泌物、排泄物在内的多种过敏原。既往研究主要聚焦在含蛋白成分的过敏原,以解释室内尘螨的致敏作用,但微小RNAs(miRNAs)在室内尘螨致敏中作用的研究较少报道。近日,我所联合江南大学附属中心医院在《Frontiers in Immunology》发表研究性论文《Dermatophagoides farinae microRNAs released to external environments via exosomes regulate inflammation-related gene expression in human bronchial epithelial cells》,从粉尘螨来源细胞外囊泡包裹的miRNAs跨物种调控角度阐释了尘螨致敏的新机制。
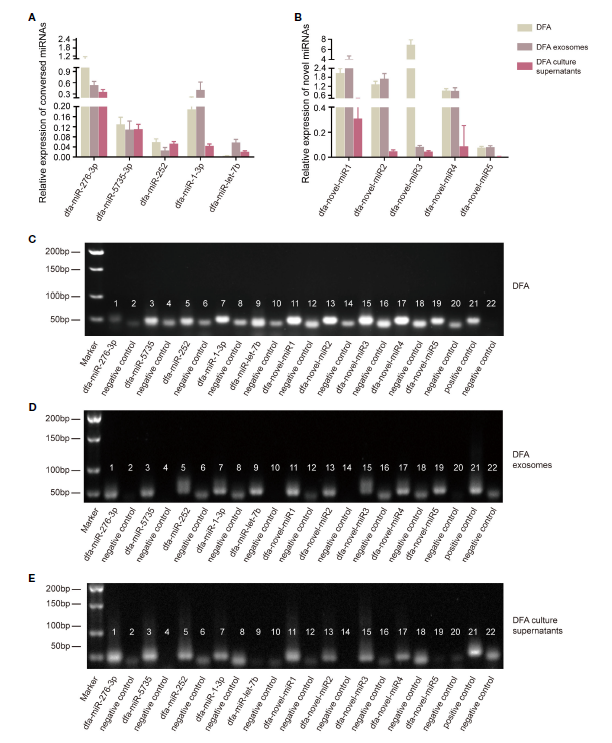
该研究首先对粉尘螨、粉尘螨来源外泌体及粉尘螨培养上清液进行小RNA测序,共鉴定出42个保守miRNAs、66个新miRNAs。qPCR和电泳检测发现,dfa-miR-276-3p和dfa-novel-miR2为粉尘螨样本中表达量最高的保守和新miRNAs。自居民常住室内、闲置房屋以及学生宿舍的窗帘、沙发、床垫等表面采集灰尘样本,巢氏PCR检测发现这些灰尘样本中包含粉尘螨和屋尘螨;qPCR检测发现,灰尘样本中可检测到保守和新miRNA表达,从而证实灰尘中存在室内尘螨分泌的miRNAs。透射电镜下可见粉尘螨来源外泌体呈特征性杯状和脂质双层形态,PKH26标记的粉尘螨来源外泌体可被人支气管上皮BEAS-2B细胞内吞,荧光显微镜可检测到BEAS-2B细胞内呈现显著红色荧光的尘螨外泌体。采用粉尘螨来源外泌体刺激BEAS-2B细胞后,促炎因子IL-6、IL-33和TSLP水平呈剂量依赖性升高。小RNA测序发现,在dfa-miR-276-3p转染的BEAS-2B细胞与正常BEAS-2B细胞间筛选出991个下调基因和463个上调基因,在dfa-novel-miR2转染的BEAS-2B细胞及正常BEAS-2B细胞间筛选出1136个下调基因和1050个上调基因,这些差异表达基因显著富集于JAK-STAT、PI3K/AKT、IL-6等炎症相关信号通路。该研究首次揭示了粉尘螨中miRNAs表达谱,并发现外泌体是粉尘螨向致敏靶细胞分泌miRNAs的一种途径,从而为过敏防控、改善尘螨过敏患者生活质量提供了新思路。
江南大学附属中心医院洪善超主任医师和江苏省血吸虫病防治研究所汪伟副研究员为该文共同通讯作者。原文链接:https://www.frontiersin.org/articles/10.3389/fimmu.2023.1303265/full。

图1 粉尘螨miRNAs测序样本收集流程及代表性miRNA表达谱

图2 qPCR验证粉尘螨相关样本中miRNAs表达
2026.03.26
2026.03.24
2026.03.19
2026.03.09
2026.01.20
2026.01.19
2025.12.24
2025.12.22
2025.12.12
2025.12.12